In der Regel ist die erste Behandlung konservativ mit Schmerzmitteln und Unterstützung bei der Mobilisation. Leider können diese Verletzungen aber auch zu chronischen Schmerzen und Verlust der Selbstständigkeit und Gehfähigkeit führen. Die Ursache liegt darin, dass meist auch das hintere Kreuzbein mitverletzt ist und der Belastung nicht mehr standhalten kann. Dies kann dazu führen, dass die Brüche nicht mehr heilen. Die Frakturen werden in der Literatur als "Fragility Fractures of the Pelvis (FFP)" oder "Insuffizienzfrakturen" bezeichnet, da sie meist mit einer Osteoporose vergesellschaftet sind.
Die Behandlung der verzögerten Heilung und der Instabilität besteht in einer chirurgischen Stabilisierung des hinteren Beckenrings mit zwei Schrauben, welche das Becken wieder mit der Wirbelsäule stabil verbinden. Die Schrauben können perkutan eingebracht werden, führen zu einer sofortigen Schmerzlinderung und ermöglichen es somit den Knochenbrüchen zu heilen. Die meisten Patienten sind nach dem Eingriff in der Lage, ohne Schmerzen zu gehen. Die Belastung für den Patienten ist dank der Schlüssellochchirurgie minimal und dauert weniger als eine Stunde.
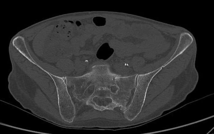
In diesem Beispiel war die Patientin vier Wochen nach einem Sturz nur noch mit Krücken und mit Schmerzen mobil. Die Computer Tomographie (CT) zeigte einen nicht verschobenen Bruch des Kreuzbeins und eine leicht verschobene Fraktur des Schambeins. Während der Operation implantierten wir CT-gesteuert zwei 7,3-mm-Schrauben. Die Schrauben gingen durch beide Ilio-Sakralgelenke und erste und zweite sakrale Wirbelkörper. Die Patientin konnte am nächsten Tag nach Hause entlassen werden und war schmerzfrei mobil.
Fazit
- Anhaltende Beckenschmerzen nach Sturz bei älteren Menschen sollten mittels CT abgeklärt werden, da die Brüche im konventionellen Röntgen oft übersehen werden.
- Beckenringfrakturen nehmen zu, sind belastend für unsere älteren Patienten und bedürfen einer langen Rehabilitationszeit.
- Beckenringfrakturen bei älteren Menschen können mittels Computer Tomographie Navigation über zwei kleine Hautschnitte mit sehr geringer Belastung für den Patienten stabilisiert werden.
Die Operation wird in der Merian Iselin Klinik in Zusammenarbeit mit der crossklinik durchgeführt.
Fraktur der linken Seite des Sakrums auf Höhe von S1
Implantation einer 7.3 mm Schraube quer durch das Kreuzbein. Die Rückenmarks-Nerven können Millimetergenau geschont werden
Röntgen Becken nach Implantation zweier 7.3 mm Schrauben quer durch das Becken und Kreuzbein







